Выстреливший в собаку житель Кировского округа за жестокое обращение с животным ответит в суде.
В конце октября жительница села Горнозаводского сообщила в полицию, что мужчина выстрелил в её собаку прямо на глазах у детей.
Задержанный мужчина рассказал, что пёс неоднократно душил его кур, свободно гуляющих по улице. Он посчитал животное бездомным. Когда снова увидел собаку возле своих птиц, мужчина взял винтовку и выстрелил.
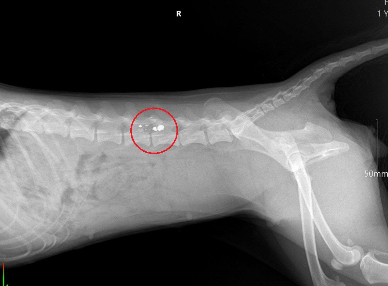
Собаку доставили в ветеринарную клинику. К сожалению, врачи диагностировали у домашнего любимца травмы, которые привели к параличу тазовых конечностей.
Расследование завершено. Уголовное дело передано в суд.
Фото: управление МВД по Ставропольскому краю.









































