Мужчина выстрелил в собаку из винтовки на глазах у детей в Кировском округе
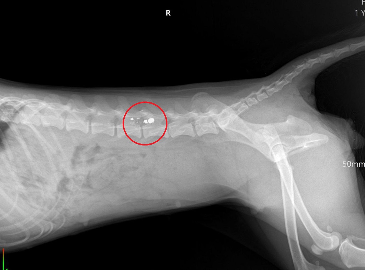
Все произошло в конце октября в селе Горнозаводском. Об этом полицейским сообщила 45-летняя хозяйка собаки. После выстрела женщина отвезла питомца в ветклинику, но, несмотря на помощь врачей, тазовые конечности животного теперь парализованы.
Стрелком оказался местный житель. По его словам, собака неоднократно душила его кур, свободно гулявших по улице. Он решил, что пес бездомный и в очередной раз, когда увидел его возле птиц, выстрелил из винтовки. Дело о жестоком обращении с животным передано в суд, сообщили в ГУ МВД по Ставрополью.









































