Забеременела на фоне приёма контрацептивов — редкий клинический случай зафиксирован на Ставрополье.
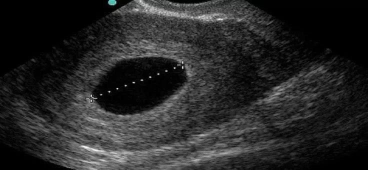
Пациентка обратилась в больницу с задержкой менструального цикла. Ультразвуковая диагностика помогла обнаружить плодное яйцо, однако эмбрион в нём отсутствовал. Диагноз — анэмбриония, так называется неразвивающаяся беременность по типу пустого плодного яйца.
Выяснилось, что пациентка принимала комбинированные оральные контрацептивы. Наглядный пример, что ни один способ контрацепции не даёт стопроцентной гарантии.
Фото: Минздрав Ставрополья.








































