На Ставрополье мужчина, выстреливший в собаку на глазах у детей, предстанет перед судом
За помощью к правоохранителям обратилась 45-летняя жительница села Горнозаводского. Она рассказала, что мужчина выстрелил в её собаку. Всё это произошло на глазах у детей.
На место прибыли сотрудники полиции. Они установили и задержали подозреваемого. Им оказался местный житель. На допросе мужчина рассказал, что собака неоднократно душила его кур, которые свободно гуляли на улице. Также он посчитал животное бездомным. Увидев собаку вновь возле своих птиц, мужчина взял винтовку и выстрелил.
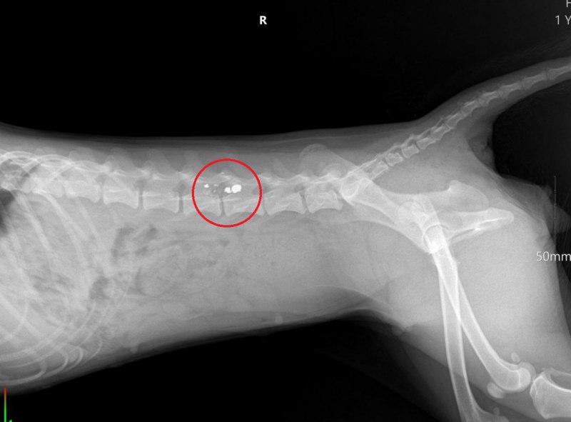
Хозяева доставили собаку в ветеринарную клинику. Врачи диагностировали травмы, которые привели к параличу тазовых конечностей.
В отношении злоумышленника возбуждено уголовное дело по статье «Жестокое обращение с животными». Дело передано в суд на рассмотрение по существу.









































