85-летнему пенсионеру из Пятигорска удалили опухоль размером с лимон
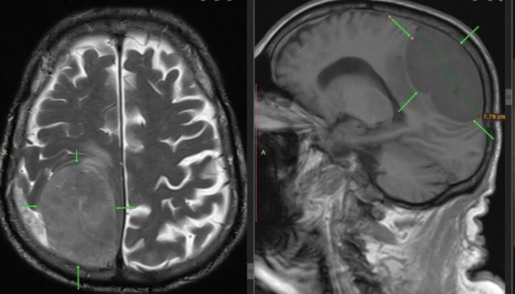
Мужчина попал в больницу, когда у него уже отказала левая нога и левая половина тела. Изначально врачи подозревали инсульт, но все оказалось куда сложнее – в правой теменно-затылочной области мозга нашли опухоль размером 87 см.
Медики начали срочную операцию. Нейрохирурги выполнили трепанацию черепа и полностью удалили опухоль. Сейчас мужчина идет на поправку, и даже движения в левой части тела пришли в норму! Гистология показала, что новообразование доброкачественное.



























































