Опухоль размером с лимон удалили из головы пенсионера пятигорские хирурги
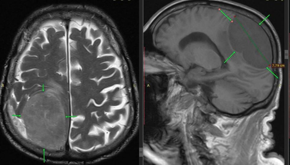
85-летний мужчина поступил в больницу, когда у него уже отказала левая нога и левая половина тела. В первые минуты было подозрение на инсульт, но экстренное обследование показало гигантское новообразование (87см) в правой теменно-затылочной области мозга, отвечающей за движение левой половины тела.
Нейрохирурги выполнили костно-пластическую трепанацию черепа и полностью удалили опухоль.
Мужчина быстро пошёл на поправку, активные движения в левой половине тела восстановились. Оказалось, что новообразование — доброкачественное, сообщает ГКБ Пятигорска.
Подпишись на Победу26 | КМВ| Восток края




























































