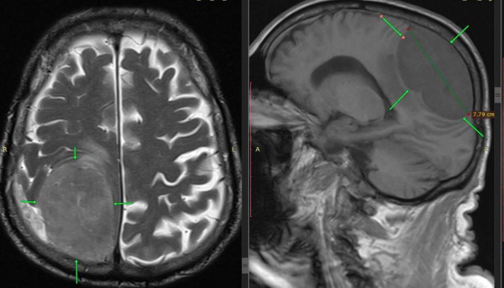
Опухоль размером с лимон удалили нейрохирурги в Пятигорске у 85-летнего пациента.
Мужчину доставили с симптомами инсульта: не двигалась левая половина тела. Но обследование показало другое — гигантское новообразование в зоне мозга, отвечающей за движение.
Нейрохирурги провели сложнейшую операцию и полностью удалили опухоль. Несмотря на высокий риск и возраст пациента, вмешательство прошло успешно.
Мозг восстановился, движения вернулись, опухоль оказалась доброкачественной. Мужчина уверенно идёт на поправку.
Фото: ГКБ Пятигорска.




























































