Пятигорские врачи удалили опухоль размером с лимон пенсионеру
В Пятигорске врачи провели сложную операцию по удалению опухоли из головы размером с лимон, сообщили в ГКБ Пятигорска.
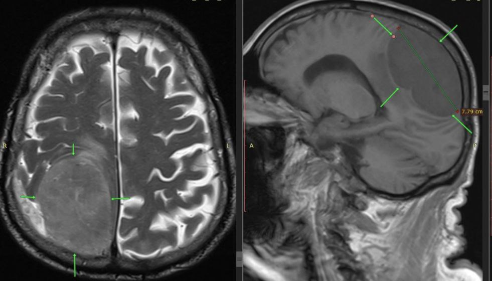
Когда 85-летний мужчина поступил в больницу у него уже отказала левая нога и левая половина тела. Изначально врачи подозревали инсульт. Но после проведеденного экстренного обследования, выяснилось, что его жизни угрожает опухоль размером 8x7 см.
Мужчине провели срочную операцию. Нейрохирурги Пятигорска выполнили трепанацию черепа и полностью удалили опухоль.
Пенсионер быстро пошёл на поправку, активность в левой половине тела восстановились. Гистология выявила доброкачественный характер новообразования.




























































