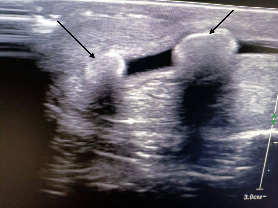
Вот с такими камнями в уретре мучился мужчина из Ставрополя
Пациент обратился к урологу с жалобами на боли и затруднённое мочеиспускание. Мужчину направили на УЗИ, где врачи увидели два огромных камня в уретре. В тот же день камни были извлечены.
В краевой больнице скорой помощи призывают не терпеть боль и как можно скорее обращаться к специалистам.



























































