В Ессентуках 30-летний мужчина ударился затылком, лёг спать и не проснулся
Больше фото в MAX.
Жуткой, но удивительной историей поделились в Ессентукской ГКБ. Вечером горожанин оступился, упал с высоты собственного роста и ударился затылком. Он не придал этому значения и лёг спать. Утром близкие не могли его разбудить: молодой человек впал в кому.
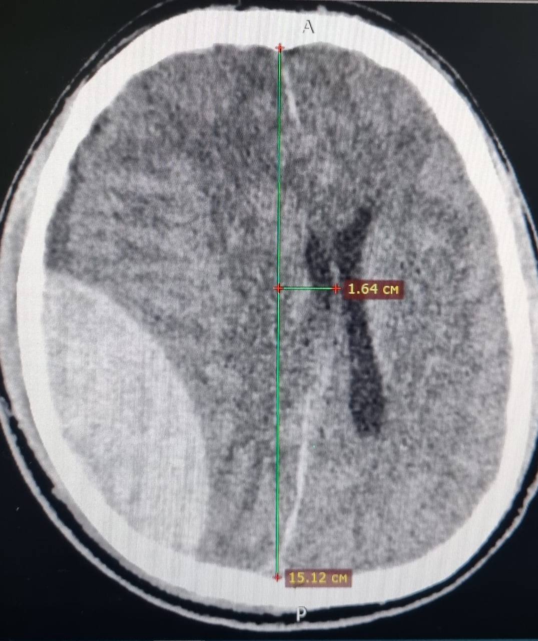
На серии КТ-снимков врачи выявили перелом черепа с эпидуральной гематомой, вызвавшей отёк мозга и смещение его срединных структур. Это скопление крови между костями черепа и мозгом — крайне опасное и редкое, на его долю приходится меньше 2% всех случаев.
За два часа нейрохирурги удалили гематому, ещё несколько дней реаниматологи сражались за жизнь мужчины. Никаких прогнозов врачи не давали. Случилось чудо: парень пришёл в сознание и начал дышать самостоятельно.
Пациента уже выписали из больницы, никаких тяжёлых последствий для мозга нет. Ему поставили титановую пластину, чтобы скрыть дефект черепа после трепанации.

























































