В Ессентуках мужчина лег спать и не проснулся. К жизни его вернули врачи
30-летнего пациента доставили в больницу в бессознательном состоянии. Оказалось, что накануне он неудачно оступился с высоты своего роста и ударился затылком, рассказали врачи Ессентукской горбольницы. Думая, что «ничего страшного» и «пройдёт само», мужчина лег спать. Но утром родственники не смогли его разбудить и вызвали скорую.
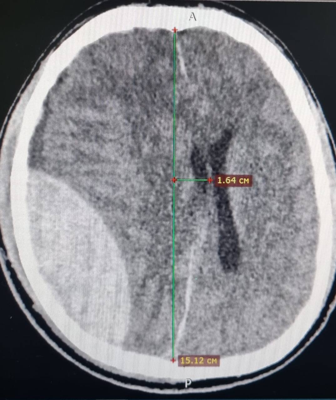
В больнице выяснилось: у пациента перелом черепа и массивная эпидуральная гематома (около 70 мл крови), сдавливающая мозг и вызвавшая отек и смещение его структур. Это крайне опасное состояние: такие гематомы встречаются реже чем у 2% всех черепно-мозговых травм, поэтому каждая минута промедления может стоить жизни. После операции ессентучанин оставался в глубокой коме и не было никаких гарантий, что он выживет. Но на десятый день мужчина все-таки пришел в сознание и даже начал дышать сам. Сегодня он чувствует себя отлично и уже готовится к выписке после второй операции.
























































